ΣΤΟΜΑΤΙΚΟ ΚΑΙ
ΓΝΑΘΟΠΡΟΣΩΠΙΚΟ ΤΡΑΥΜΑ

Χειρουργική αντιμετώπιση στοματικού & γναθοπροσωπικού τραύματος

Eπικοινωνία

Η Γναθοπροσωπική Χειρουργική είναι ιστορικά μια χειρουργική ειδικότητα που αναπτύχθηκε, όπως η γενική χειρουργική, η νευροχειρουργική, η ορθοπεδική χειρουργική και η πλαστική / επανορθωτική χειρουργική, ιδιαίτερα στους δύο παγκόσμιους πολέμους και σε άλλες συρράξεις της υφηλίου εξαιτίας της ανάγκης που προέκυψε λόγω των περιστάσεων να αντιμετωπίζονται και να αποκαθίστανται σοβαρές τραυματικές κακώσεις του προσώπου, της κεφαλής και του λαιμού.

 

Το τραύμα αποτελεί τη βάση της ειδικότητας αυτής και σε αυτό δίδεται ιδιαίτερη έμφαση κατά τη διάρκεια της εκπαίδευσης των ειδικευόμενων γναθοπροσωπικών χειρουργών στις πανεπιστημιακές κλινικές όλου του κόσμου.

 

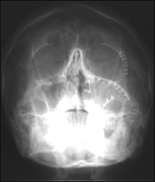
Ο γναθοπροσωπικός χειρουργός έχει, λοιπόν, πλατιά εκπαίδευση στην αντιμετώπιση τραυματικών κακώσεων του προσώπου, όπως είναι τα κατάγματα της άνω και κάτω γνάθου, του οφθαλμικού κόγχου, των ζυγωματικών οστών, του μετωπιαίου οστού και του ρινοηθμοειδικού συμπλέγματος, καθώς και των θλαστικών κακώσεων των μαλακών μορίων του προσώπου (Εικόνα 31Α, 31Β, 31Γ).

Για περισσότερες λεπτομέρειες πατήστε πάνω στην αντίστοιχη εικόνα.

Έχετε περαιτέρω απορίες ή επιθυμείτε
να κλείσετε ραντεβού;

Επικοινωνήστε με τον γναθοχειρουργό Γεώργιο Α. Βήλο και λάβετε την εξειδικευμένη φροντίδα που χρειάζεστε.