ΟΣΤΙΚΗ ΑΝΑΠΛΑΣΗ ΚΑΙ
ΑΠΟΚΑΤΑΣΤΑΣΗ ΑΤΡΟΦΙΚΩΝ ΓΝΑΘΩΝ

Αναπλαστικές επεμβάσεις
(οστικές αυτομεταμοσχεύσεις)
στη χειρουργική εμφυτευματολογία

Eπικοινωνία

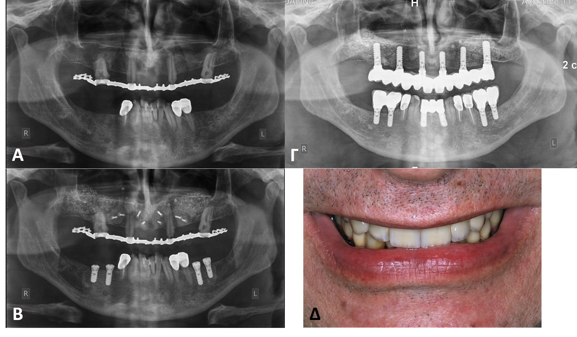
Πολλές φορές η υπάρχουσα ποσότητα οστού στις γνάθους είναι ανεπαρκής για την ικανοποιητική στήριξη προσθετικών εργασιών ή για την υποδοχή οδοντικών εμφυτευμάτων. Αυτό μπορεί να είναι αποτέλεσμα περιοδοντίτιδας, μακροχρόνιας χρήσης οδοντοστοιχιών, τραύματος, ή χειρουργικής αφαίρεσης όγκων (Εικόνα 11, 12, 13).

Σε τέτοιες περιπτώσεις ο γναθοπροσωπικός χειρουργός μπορεί να μεταμοσχεύσει στις ελλειμματικές περιοχές των γνάθων οστικά μοσχεύματα προερχόμενα από ενδοστοματικές (γενειακή σύμφυση, έξω λοξή γραμμή κάτω γνάθου, ζυγωματική αντηρίδα άνω γνάθου) ή εξωστοματικές δότριες θέσεις (λαγόνιος ακρολοφία, κνήμη, κρανιακός θόλος) προκειμένου να βελτιωθεί η ποσότητα και η ποιότητα των σκληρών ιστών.

 

Προηγείται η αναπλαστική επέμβαση (οστική αυτομεταμόσχευση) που συνήθως γίνεται σε νοσοκομειακό περιβάλλον και μετά την παρέλευση 5 ως 6 μηνών, χρονικού διαστήματος που απαιτείται για την ωρίμανση και τη βιολογική ενσωμάτωση του οστικού μοσχεύματος, ακολουθεί στο ιατρείο η τοποθέτηση των οδοντικών εμφυτευμάτων στις ιδανικές θέσεις και με απόλυτα προβλέψιμο τρόπο.

Για περισσότερες λεπτομέρειες πατήστε πάνω στην αντίστοιχη εικόνα.

Οι πιο συνηθισμένες αναπλαστικές επεμβάσεις στη χειρουργική εμφυτευματολογία είναι:

 

1)       Η τοποθέτηση οδοντικού εμφυτεύματος ταυτόχρονα με ανάπλαση της ελλειμματικής φατνιακής ακρολοφίας χρησιμοποιώντας μείγμα αυτογενούς φλοιώδους οστικού μοσχεύματος και κοκκώδους βόειου ή χοίριου ξενομοσχεύματος (contour ridge augmentation). Η περιοχή καλύπτεται με απορροφήσιμη μεμβράνη κολλαγόνου, η οποία ακινητοποιείται με συμπληρωματικά μέσα, όπως ράμματα και καρφίδες τιτανίου.

 

2)       Η ανοικτή ανύψωση της μεμβράνης του ιγμορείου (maxillary sinus floor elevation), όταν το ζητούμενο είναι η αποκατάσταση των οπίσθιων περιοχών της άνω γνάθου με οδοντικά εμφυτεύματα. Ανάλογα με τις συνθήκες μπορεί η τοποθέτηση των οδοντικών εμφυτευμάτων να γίνει ταυτόχρονα με την ανύψωση ιγμορείου ή σε δεύτερο χρόνο (Εικόνα 14).

3)       Η ανάπλαση της ελλειμματικής φατνιακής ακρολοφίας της άνω ή της κάτω γνάθου με block αυτογενούς οστικού μοσχεύματος (autogenous block graft) από ενδοστοματική δότρια θέση (γενειακή σύμφυση ή κλάδος της κάτω γνάθου). Σε τέτοιες περιπτώσεις τα αυτογενή οστικά blocks ακινητοποιούνται επί των δεκτριών θέσεών τους με micro βίδες οστεοσύνθεσης. Σε δεύτερο χρόνο προγραμματίζεται η επανείσοδος στην αναπλασμένη πλέον περιοχή για την αφαίρεση των βιδών οστεοσύνθεσης και την τοποθέτηση των οδοντικών εμφυτευμάτων (Εικόνα 15).

 

4)       Σε εκτεταμένα ελλείμματα της άνω και της κάτω γνάθου η αποκατάσταση κατά πάχος και καθ’ ύψος της ατροφικής γνάθου μπορεί να γίνει με τη βοήθεια πλέγματος τιτανίου (titanium mesh 3D augmentation), εντός του οποίου στοιβάζεται κοκκώδες αυτομόσχευμα από ενδοστοματική ή εξωστοματική δότρια θέση. Το πλέγμα ακινητοποιείται σταθερά με micro βίδες οστεοσύνθεσης και η επανείσοδος για την αφαίρεση αυτών των υλικών και την τοποθέτηση οδοντικών εμφυτευμάτων προγραμματίζεται να γίνει μετά από 4 ως 6 μήνες (Εικόνα 16).

Για περισσότερες λεπτομέρειες πατήστε πάνω στην αντίστοιχη εικόνα.

Όλες οι παραπάνω μέθοδοι έχουν μακρόχρονη βιβλιογραφική τεκμηρίωση και τα βιοϋλικά που χρησιμοποιούνται έχουν καταξιωθεί σε ό,τι αφορά στη βιοσυμβατότητά τους και στην προβλεψιμότητα των αποτελεσμάτων που επιφέρουν. Καθοριστικό ρόλο στην επιτυχή έκβαση της ανάπλασης παίζει η εμπειρία του επεμβαίνοντος χειρουργού και η εξασφάλιση ιδανικών συνθηκών ασηψίας στο ιατρείο ή στο νοσοκομείο.

Έχετε περαιτέρω απορίες ή επιθυμείτε
να κλείσετε ραντεβού;

Επικοινωνήστε με τον γναθοχειρουργό Γεώργιο Α. Βήλο και λάβετε την εξειδικευμένη φροντίδα που χρειάζεστε.