ΔΥΣΑΡΜΟΝΙΕΣ ΠΡΟΣΩΠΟΥ –
ΟΡΘΟΓΝΑΘΙΚΗ ΧΕΙΡΟΥΡΓΙΚΗ

Ορθογναθική χειρουργική για δυσαρμονίες γνάθων,
σωστή σύγκλειση, μάσηση, ομιλία & αισθητική προσώπου.

Eπικοινωνία

Οι δυσαρμονίες στη σκελετική ανάπτυξη των γνάθων του προσώπου μπορούν να προκαλέσουν λειτουργικά και ψυχολογικά προβλήματα. Τα λειτουργικά συνίστανται σε διαταραχές της μάσησης, κατάποσης, φώνησης, αναπνοής, καθώς και σε δυσλειτουργία των κροταφογναθικών διαρθρώσεων, ενώ τα ψυχολογικά προκύπτουν από την αισθητική και κοινωνική πτυχή των ασυμμετριών αυτών.

 

Ορισμένες ανωμαλίες οδοντικής σύγκλεισης αφορούν μόνο σε παρεκτοπισμένα ή συνωστισμένα δόντια και μπορούν να διορθωθούν από τον ορθοδοντικό με κατάλληλους μηχανισμούς («σιδεράκια») ή με διαφανείς ορθοδοντικούς νάρθηκες. Σοβαρότερες, όμως, διαταραχές στη σκελετική ανάπτυξη του προσώπου και των γνάθων, όπως προγναθισμός, μικρογναθία, ή πλαγιογναθισμός, απαιτούν διορθωτικές χειρουργικές επεμβάσεις για τη διευθέτηση της άνω και της κάτω γνάθου σε φυσιολογική λειτουργικά και αισθητικά θέση.

 

Η χειρουργική διόρθωση (ορθογναθική - ορθοπροσωπική χειρουργική) γίνεται σχεδόν πάντα σε συνδυασμό με προεγχειρητική προετοιμασία από ορθοδοντικό που συνήθως διαρκεί περίπου 1 έτος. Κατόπιν σωστής διαγνωστικής προσέγγισης και εμπεριστατωμένου θεραπευτικού σχεδιασμού το αποτέλεσμα καθίσταται απόλυτα προβλέψιμο.

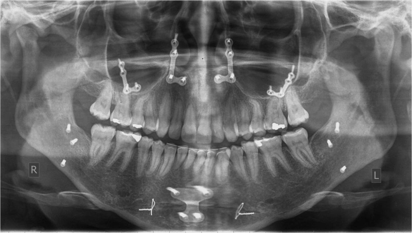
Η άμεσα προεγχειρητική προετοιμασία περιλαμβάνει τη λήψη φωτογραφιών της οδοντικής σύγκλεισης και του προσώπου, τη λήψη πανοραμικής και κεφαλομετρικών ακτινογραφιών, ενδεχομένως τη λήψη υπολογιστικών τομογραφιών των γνάθων, την κατασκευή γύψινων εκμαγείων μελέτης και την ανάρτηση αυτών με τη βοήθεια προσωπικού τόξου σε ημιπροσαρμοζόμενο αρθρωτήρα (Εικόνα 17), την εκτέλεση της επέμβασης κατά προσομοίωση πρώτα σε χαρτί (Εικόνα 18) ή εικονικά σε ηλεκτρονικό υπολογιστή (Εικόνα 19) και στη συνέχεια στα γύψινα εκμαγεία με σκοπό την κατασκευή χειρουργικών οδηγών (Εικόνα 20) που θα χρησιμοποιηθούν κατά τη διάρκεια της επέμβασης, για να υποδείξουν το είδος και το μέγεθος των μετακινήσεων των γνάθων με ακρίβεια χιλιοστού. Έτσι εξασφαλίζεται η ακριβής μεταφορά στο πρόσωπο του ασθενούς του συγκεκριμένου σχεδίου θεραπείας, στο οποίο έχουν καταλήξει σε συνεργασία ο γναθοπροσωπικός χειρουργός και ο ορθοδοντικός κατόπιν λεπτομερούς ανάλυσης, μελέτης και συζήτησης. Η σύγχρονη τάση, την οποία ακολουθεί και το ιατρείο μας, είναι όλη η προετοιμασία και προσομοίωση να γίνονται ψηφιακά και οι χειρουργικοί οδηγοί να εκτυπώνονται. Οι γνάθοι ακινητοποιούνται στις νέες τους θέσεις με πλάκες και βίδες οστεοσύνθεσης από τιτάνιο (Εικόνα 21). Αυτά τα υλικά δε χρειάζεται να αφαιρεθούν μετεγχειρητικά.

Για περισσότερες λεπτομέρειες πατήστε πάνω στην αντίστοιχη εικόνα.

Μετά την επέμβαση, η οποία γίνεται με γενική αναισθησία, ο ασθενής παραμένει στο νοσοκομείο 2 ως 4 ημέρες, ενώ επανέρχεται στις κανονικές του δραστηριότητες μετά από 3 εβδομάδες. Η μετεγχειρητική ορθοδοντική ξεκινά περί τους 2 μήνες μετεγχειρητικά και συνήθως διαρκεί περίπου 6 μήνες ακόμα.

 

Οι ορθογναθικές επεμβάσεις αποκαθιστούν τη φυσιολογική ανατομία του σκελετού του προσώπου, επαναφέρουν τη φυσιολογική λειτουργία του στοματογναθικού συστήματος και βελτιώνουν την αισθητική εμφάνιση του προσώπου και του χαμόγελου (Εικόνα 22Α, 22Β, 22Γ). Το τελικό αποτέλεσμα μπορεί να βελτιωθεί ακόμα περισσότερο με συμπληρωματικές αισθητικές επεμβάσεις στη μύτη (ρινοπλαστική) ή / και στο γένειο (γενειοπλαστική), ανάλογα με την περίπτωση και τις επιθυμίες του εκάστοτε ασθενούς (Εικόνα 23Α, 23Β).

Για περισσότερες λεπτομέρειες πατήστε πάνω στην αντίστοιχη εικόνα.

Έχετε περαιτέρω απορίες ή επιθυμείτε
να κλείσετε ραντεβού;

Επικοινωνήστε με τον γναθοχειρουργό Γεώργιο Α. Βήλο και λάβετε την εξειδικευμένη φροντίδα που χρειάζεστε.