ΟΔΟΝΤΙΚΑ ΕΜΦΥΤΕΥΜΑΤΑ

Στοματοχειρουργικές και
εμφυτευματολογικές επεμβάσεις
για αποκατάσταση δοντιών

Eπικοινωνία

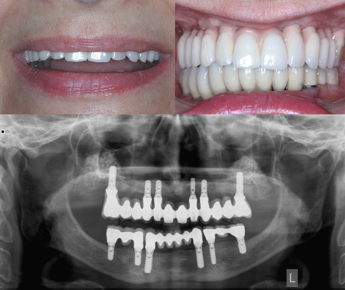
Εκατομμύρια άνθρωποι σε όλο τον κόσμο υποφέρουν από απώλεια δοντιών. Μετά από επιτυχή κλινική εφαρμογή για περισσότερο από 35 έτη, τα οδοντικά εμφυτεύματα αποτελούν σήμερα ένα εξαιρετικό υποκατάστατο των φυσικών δοντιών, με άριστη μακροχρόνια πρόγνωση. Τα εμφυτεύματα είναι κατασκευασμένα από τιτάνιο ή από κράματα τιτανίου με ζιρκονία, τα οποία είναι πλήρως βιοσυμβατά και έχουν καθιερωθεί ως υλικά εκλογής και στον χώρο της Ορθοπαιδικής Χειρουργικής. Μικρά μεταλλικά στηρίγματα - κολοβώματα (abutments) συνδέονται πάνω στα εμφυτεύματα και αποτελούν την πλατφόρμα πάνω στην οποία θα στηριχθούν τα τεχνητά δόντια (Εικόνα 5Α, 5Β). Δουλεύοντας σε συνεργασία με οδοντίατρο—προσθετολόγο (ο οποίος σχεδιάζει και τοποθετεί τα τεχνητά δόντια), ο στοματικός και γναθοπροσωπικός χειρουργός αξιολογεί τον ασθενή και τοποθετεί τα εμφυτεύματα στο οστό των γνάθων (Εικόνα 6).

 

Πιο σύνθετες στοματοχειρουργικές και εμφυτευματολογικές επεμβάσεις μπορούν να τελεστούν σε νοσοκομειακό περιβάλλον υπό ενδοφλέβιο αναλγησία και καταστολή (μέθη) ή γενική αναισθησία για την ελαχιστοποίηση του χειρουργικού stress και την εξασφάλιση των βέλτιστων συνθηκών για τον ασθενή.

 

Σε περιστατικά ολικής αποκατάστασης με οδοντικά εμφυτεύματα, σημαντική βοήθεια προσφέρουν πλέον οι ηλεκτρονικοί υπολογιστές, η εφαρμογή των οποίων επιτρέπει το σχεδιασμό της τελικής προσθετικής αποκατάστασης σε εικονικό περιβάλλον και τη μελέτη του αριθμού, της θέσης και της κλίσης των οδοντικών εμφυτευμάτων, ώστε αυτά να υποστηρίζουν με τον ιδανικό τρόπο τη μελλοντική προσθετική εργασία ανάλογα με τις ανατομικές συνθήκες που υφίστανται σε κάθε ασθενή (Εικόνα 7).

 

Ακολούθως εκτυπώνεται από 3D printer ένας χειρουργικός οδηγός ακριβείας, ο οποίος χρησιμοποιείται κατά τη διάρκεια της επέμβασης και καθοδηγεί το χειρουργό στην τοποθέτηση των οδοντικών εμφυτευμάτων (Εικόνα 8). Σε τέτοιες περιπτώσεις συνήθως ακολουθεί άμεση φόρτιση των οδοντικών εμφυτευμάτων, δηλαδή αμέσως μετά τη χειρουργική επέμβαση ο οδοντίατρος παραδίδει στον ασθενή μία προσωρινή ακίνητη προσθετική εργασία, η οποία καλύπτει τις αισθητικές και λειτουργικές του ανάγκες μέχρι βιολογικά να οστεοενσωματωθούν τα οδοντικά εμφυτεύματα και να ακολουθήσει η διαδικασία της τελικής προσθετικής αποκατάστασης (Εικόνα 9). Η όλη διαδικασία μειώνει σημαντικά το συνολικό χρόνο της αποκατάστασης και αυξάνει κατακόρυφα την αποδοχή της θεραπείας από πλευράς ασθενών.

 

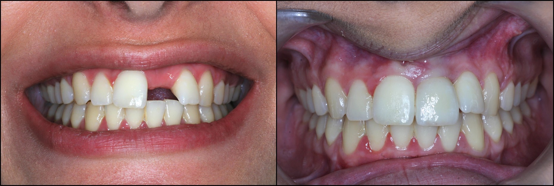
Η αποκατάσταση μονήρους ή τμηματικής απώλειας δοντιών στην πρόσθια αισθητική ζώνη της άνω γνάθου είναι ιδιαίτερα απαιτητική. Στόχος του χειρουργού και του συνεργαζόμενου οδοντιάτρου-προσθετολόγου είναι να δημιουργήσουν προσθετικές αποκαταστάσεις που να εναρμονίζονται αισθητικά με τη γειτονική φυσική οδοντοφυΐα και τους περιβάλλοντες μαλακούς ιστούς των ούλων. Για την επίτευξη του άριστου αισθητικού αποτελέσματος χρειάζεται σχεδόν πάντα να γίνει ανάπλαση με οστικά μοσχεύματα, ενώ κάποιες φορές απαιτείται συμπληρωματική διαχείριση της περίπτωσης με μοσχεύματα μαλακών ιστών (Εικόνα 10).

Για περισσότερες λεπτομέρειες πατήστε πάνω στην αντίστοιχη εικόνα.

Έχετε περαιτέρω απορίες ή επιθυμείτε
να κλείσετε ραντεβού;

Επικοινωνήστε με τον γναθοχειρουργό Γεώργιο Α. Βήλο και λάβετε την εξειδικευμένη φροντίδα που χρειάζεστε.