ΟΔΟΝΤΟΦΑΤΝΙΑΚΗ ΧΕΙΡΟΥΡΓΙΚΗ – ΕΓΚΛΕΙΣΤΑ ΔΟΝΤΙΑ

Οδοντοφατνιακή χειρουργική

για έγκλειστα δόντια / φρονιμίτες

Eπικοινωνία

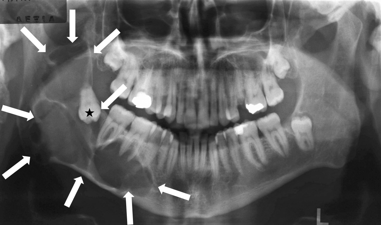
Ένα έγκλειστο δόντι (Εικόνα 1) μπορεί να προκαλέσει οξεία φλεγμονή και οδοντοφατνιακό ή τραχηλοπροσωπικό απόστημα, καθώς και μόνιμη βλάβη σε γειτονικά δόντια, ούλα και οστό. Τα έγκλειστα δόντια σχετίζονται με τη δημιουργία κύστεων και όγκων (Εικόνα 2) που μπορούν να καταστρέψουν μεγάλη ποσότητα του οστού των γνάθων προδιαθέτοντας σε εμφάνιση παθολογικών καταγμάτων της κάτω γνάθου ή σε επιπλοκές από το ιγμόρειο άντρο (Εικόνα 3).

Τα συνήθη συμπτώματα που προκαλούνται από τα έγκλειστα δόντια είναι πόνος και πρήξιμο που οφείλονται σε φλεγμονή των γύρω ιστών. Τις περισσότερες φορές τα έγκλειστα δόντια δεν αντιμετωπίζονται παρά μόνο όταν παρουσιαστούν συμπτώματα. Άλλες φορές και ειδικά σε νεαρές ηλικίες (16 ως 25 ετών) ενδείκνυται η προληπτική αφαίρεσή τους, όταν ακτινογραφικά μπορούν να προβλεφθούν πιθανά μελλοντικά προβλήματα (Εικόνα 4).

 

Στην ομαλή μετεγχειρητική πορεία και στην αποφυγή επιπλοκών συμβάλλει η αφαίρεση των εγκλείστων δοντιών από εξειδικευμένο στοματικό χειρουργό.

Για περισσότερες λεπτομέρειες πατήστε πάνω στην αντίστοιχη εικόνα.

Έχετε περαιτέρω απορίες ή επιθυμείτε
να κλείσετε ραντεβού;

Επικοινωνήστε με τον γναθοχειρουργό Γεώργιο Α. Βήλο και λάβετε την εξειδικευμένη φροντίδα που χρειάζεστε.